IVF Success Stories Above 35 Years
26 July 2025

At Plodnost, we believe that age is not a barrier when medicine and experience work hand in hand through precision, persistence, and an individual approach. Especially for patients over the age of 35, every detail can make a difference. In this article, we share three real stories of women who, despite the challenges, achieved their dream of motherhood.
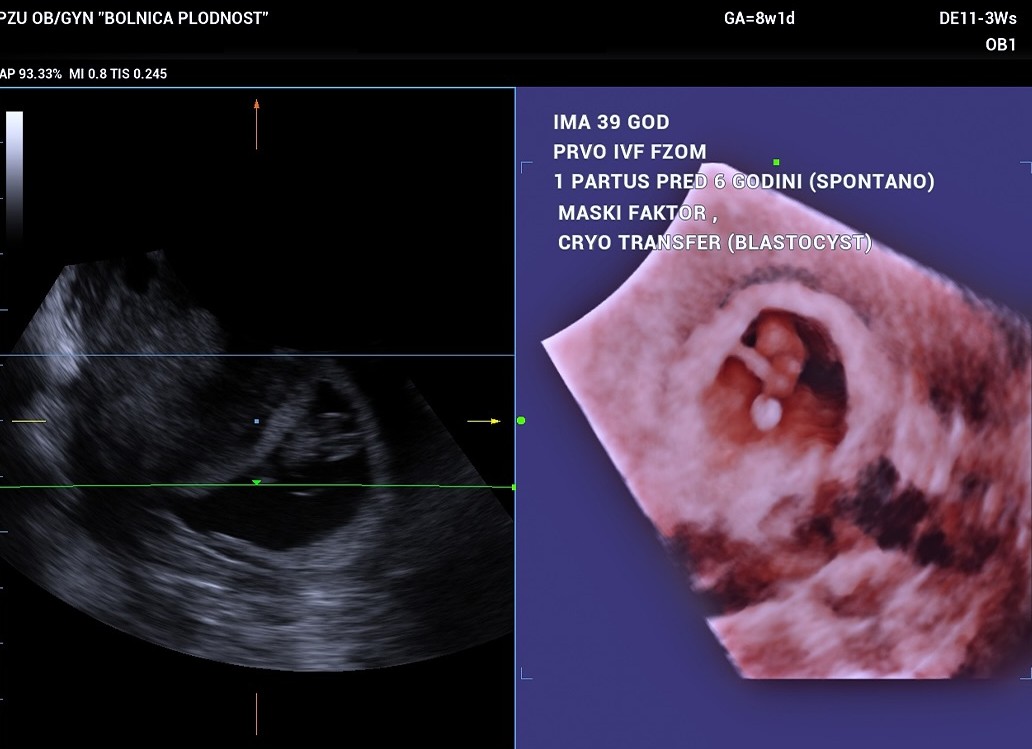
Case 1: 39-Year-Old Patient – Deferred Transfer and Frozen Blastocysts
A 39-year-old woman came to us six years after her last natural birth. During her first IVF procedure covered by the National Health Fund (FZOM), we noticed that her endometrium was not adequate on the planned day of embryo transfer. Rather than risking failure, we opted to freeze the embryos at the blastocyst stage and wait for a more optimal time. A few weeks later, the embryos were thawed and transferred successfully.
Result: Successful implantation and a healthy pregnancy – proof that careful assessment and patience deliver results.

Case 2: 38-Year-Old Patient – MAKS Method for High DNA Fragmentation
This 38-year-old woman, married for 4.5 years, had undergone a long path of fertility treatments. During her second IVF attempt, we discovered a high percentage of DNA fragmentation in the sperm analysis. We applied the MAKS method for selecting sperm – an advanced technique that improves the chances of choosing genetically stable sperm.
Result: A successful pregnancy that confirmed the effectiveness of using the right technique for the right case.

Case 3: 36-Year-Old Patient – Tailored Third IVF Protocol
A 36-year-old patient, previously unsuccessful with two IVF cycles and facing a male factor diagnosis (OTA III), needed a carefully customised approach. After in-depth consultations and using the latest technology, we designed a protocol that suited her hormonal and reproductive profile.
Result: Positive pregnancy test, currently in the 5th gestational week and 6 days.

These success stories highlight the importance of personalised medicine in reproductive care. At Plodnost, every patient receives individual attention, and each procedure is carried out according to the most advanced medical standards.
Schedule your consultation:
Plodnost – Centre for Assisted Reproduction



